HOME
OUR TEAM
FELLOW RESIDENTS
MS RESTORATIVE RESIDENTS
CASE GALLERY
PHOTOGRAPHY
EVENTS
ACHIEVEMENTS
PATIENT CARE
BEST PRACTICES
COURSES OFFERED
TEACHING AND LEARNING PROGRAMME
JOURNAL
TESTIMONIALS
VIDEO
CONTACT

DEPARTMENT OF AESTHETIC DENTISTRY

HOME
OUR TEAM
FELLOW RESIDENTS
MS RESTORATIVE RESIDENTS
CASE GALLERY
PHOTOGRAPHY
EVENTS
ACHIEVEMENTS
PATIENT CARE
BEST PRACTICES
COURSES OFFERED
TEACHING AND LEARNING PROGRAMME
JOURNAL
TESTIMONIALS
VIDEO
CONTACT
August+2021+cases+.020.jpg
Aesthetic Dentistry
October 4, 2021

Management of microdontia & discolouration

Aesthetic Dentistry
October 4, 2021

Indirect veneers done in central and lateral incisors followed by bleaching in canines and bicuspids

Snehal Veneer 2.png
Snehal veneer 1.png
IMG_1448.jpg
Snehal veneer 4.png
Snehal veneer 3.png
Snehal veneer 5.png
Snehal Veneer 2.png Snehal veneer 1.png IMG_1448.jpg Snehal veneer 4.png Snehal veneer 3.png Snehal veneer 5.png
Aesthetic Dentistry
October 4, 2021

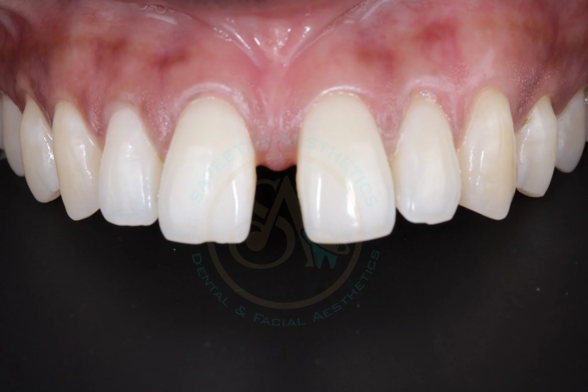
Discolouration and space management with conventional veneers

Aesthetic Dentistry
October 4, 2021

Management of discolored upper anteriors with six unit porcelain veneers

Monica 2.png
Monica veneer 1.png
Monica 2.png Monica veneer 1.png
Aesthetic Dentistry
September 30, 2021

Smile Makeover

Aesthetic Dentistry
September 30, 2021

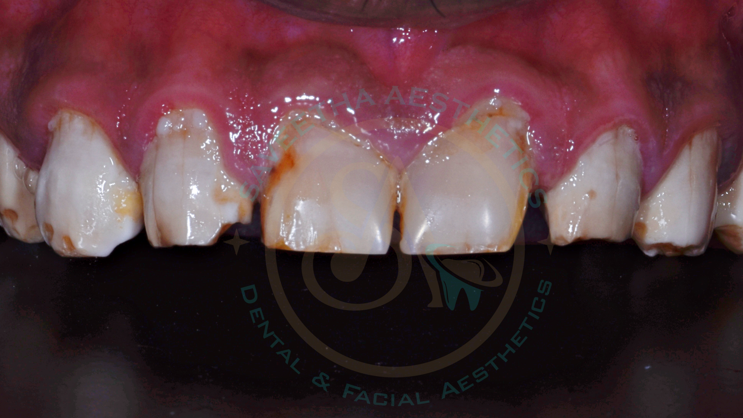
Management of discoloured tooth with mild crowding upper anteriors with porcelain veneers

Veneer case 3.jpg
Veneer case Pre .jpg
Veneer Case Post smile.jpg
Veneers Case 2.jpg
Veneer case 3.jpg Veneer case Pre .jpg Veneer Case Post smile.jpg Veneers Case 2.jpg
Aesthetic Dentistry
September 30, 2021

Indirect Ceramic Veneering

Aesthetic Dentistry
September 30, 2021

Space closure done using indirect ceramic veneers

Dhivya case 3.jpg
dhavya case 4.jpg
dhivya case 1.jpg
dhivya case 2.jpg
Dhivya Case 6.jpg
dhivya case 5.jpg
website 1.png
Dhivya case 3.jpg dhavya case 4.jpg dhivya case 1.jpg dhivya case 2.jpg Dhivya Case 6.jpg dhivya case 5.jpg website 1.png
Newer Posts
Back to Top

Powered by Squarespace